“孕妇血压持续下降,腹腔内出血已超3000ml,失血性休克!”1月7日凌晨,诸城市人民医院妇科急诊手术区的红灯急促闪烁,一场与死神赛跑的生死竞速就此展开。这场惊心动魄的抢救,不仅成功挽救了宫外孕患者的生命,更彰显了医院妇科在急危重症救治领域的卓越实力——而这已是主治医师朱俊晓连续第6个夜班中成功处理的第6起宫外孕病例。
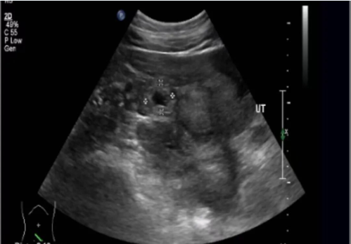
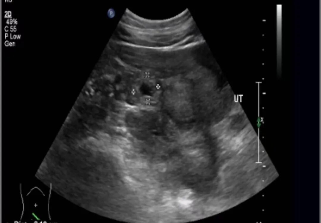
患者因突发剧烈腹痛急诊入院,入院时已面色苍白、头部下垂、生命体征濒临崩溃。夜班主治医师朱俊晓凭借丰富的临床经验,结合急诊超声检查,迅速确诊为右侧输卵管间质部妊娠破裂——这是宫外孕中最凶险的类型,该部位血运丰富,破裂后出血迅猛,短时间内即可致命。 面对患者年龄、异位妊娠处解剖学结构的特殊性及病情的危急程度,朱俊晓当机立断:“立即启动应急预案!”,妇科、麻醉科与手术室迅速联动,决定采用腹腔镜辅助下右输卵管切除+妊娠物切除。这一决策既确保了病灶的彻底清除,又避免了二次手术风险。 由于患者出血量极大,团队果断启用了自体血回输技术,将术中流失的血液过滤净化后即时回收。手术室内,团队成员各司其职,紧密配合,在腹腔镜进入腹腔的瞬间,大量积血涌出,朱俊晓医生迅速找到破裂部位,精准施术,控制出血点。经过1小时紧张奋战,共回输自体血1159ml,患者血压逐步回升,生命体征趋于平稳。 “这次成功抢救,关键在于快速诊断、及时手术和自体血回输技术的应用。”朱俊晓介绍,在连续6个夜班中,均遇到了宫外孕病例,且全部成功救治。“宫外孕是妇科常见的急腹症之一,而输卵管间质部妊娠就像一颗定时炸弹,随时可能破裂大出血,危及生命。因此,育龄女性出现停经、腹痛、阴道流血等症状时应及时就医。” 诸城市人民医院妇科作为“全国巾帼文明岗”“国家临床重点专科联盟成员单位”“潍坊市临床重点学科”,始终以卓越的救治能力守护生命防线。该科室组建了一支反应迅速、技术过硬的快速响应团队,依托“黄金1小时”抢救机制,实现了从接诊到手术的无缝衔接。 过去一年,该团队累计接诊妇产科门急诊患者超1.2万人次,成功抢救宫外孕大出血、黄体破裂、卵巢肿瘤蒂扭转等危重病例200余例,腹腔镜下广泛性子宫切除及盆腔淋巴结清扫、子宫内膜癌分期手术、IV期子宫内膜异位症病灶切除术、晚期卵巢癌满意的肿瘤细胞减免术、外阴癌根治术、宫腔镜下II型粘膜下肌瘤电切术、重度宫腔粘连分离术、子宫畸形矫正术等复杂手术800余例,多项核心指标位居山东省前列。 从技术创新到服务升级,诸城市人民医院积极构建了从24小时待命的急诊绿色通道到“一患一策”的全链条救治体系。这些创新举措不仅提升了急危重症救治效率,更让患者享受到了个性化医疗服务。未来,医院将继续以重点学科建设为引领,为守护龙城百姓健康保驾护航。




